| |
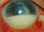
Hypopyon
An accumulation of pus in the front of the
eye. This condition is most often seen following a penetrating trauma to
the eye and should be examined by an eye doctor as soon as possible.

In this image, the pus is seen as a pool of whitish fluid between the
iris and cornea.
|
|